37000vip威尼斯

新闻中心

DNA+RNA联合检测:首次发现B3型胸腺瘤新融合KMT2A::MAML3

37000vip威尼斯基因学术文章

导语


B3型胸腺瘤(Type B3 Thymoma)是一种具有中度恶性潜能的胸腺上皮性肿瘤,常见于前纵隔,具有局部侵袭性,5年生存率约为70%–90%[1]。近年来,MAML2基因融合被认为是侵袭性胸腺瘤分子特征,尤其是与KMT2A、YAP1和CRTC1等基因形成融合产物,参与Notch信号通路的异常激活。然而,MAML家族其他基因在胸腺瘤中的融合事件报道尚属空白。


南方医科大学南方医院林洁教授团队与37000vip威尼斯基因合作,基于世和赛康®和赛瑞宁两款产品进行DNA与RNA联合检测,首次在一例B3型胸腺瘤病例中发现KMT2A::MAML3融合基因,为该类肿瘤的分子诊断提供了新的依据。相关研究成果已于近日发表在Genes, Chromosomes and Cancer[2]


病例详情


患者,男性,22岁,因体检发现纵隔占位入院,无明显胸痛、咳嗽或呼吸困难症状。


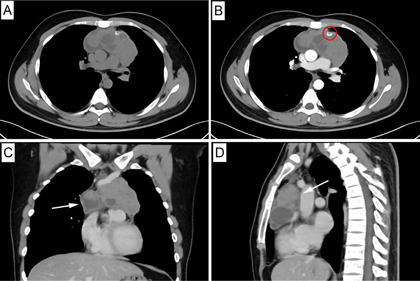
CT影像显示:前纵隔巨大囊实性肿块,大小约104×56×64mm,边界不清,伴有钙化及囊变,邻近心脏及大血管受压移位(图1A–D)。


37000vip威尼斯基因肿瘤基因检测学术文章

图1. 术前CT影像示前纵隔囊实性肿块,边界不清,侵犯周围器官


术后病理显示:切面呈囊实混合性,肿瘤呈弥漫性生长,局部呈梁状、束状排列,部分可见透明细胞样区域,伴大量血管周围间隙及纤维分隔(图2A–F)。


免疫组化显示:瘤细胞CK、CK19、P40、P63、CK5/6 均阳性,证实上皮及鳞状分化;背景见散在TdT⁺未成熟T细胞。瘤上皮CD5、CD117、CD20阴性,Ki-67 3–5%。神经内分泌标志(Syn、INSM1)及Vimentin、SOX-10、SALL-4均阴性。透明细胞区AB⁻/PAS⁺,提示糖原沉积(图2G–I)。综合形态与表型,支持B3型胸腺瘤诊断。


37000vip威尼斯基因肿瘤基因检测学术文章

图2. 肿瘤组织学表现多样,免疫组化显示CK5/6阳性,PAS染色阳性


为全面揭示患者基因突变情况,研究团队采用DNA+RNA联合检测:DNA层面检出意义未明的IGR::KMT2A融合,RNA测序进一步确定KMT2A基因第8外显子与MAML3基因第2外显子融合(KMT2A::MAML3),融合丰度为20.15%。基因组分析证实,MAML2/3第2号外显子中保留了共同的N端转录激活结构域,这与经典KMT2A::MAML2融合中保留的功能域相呼应,可能导致类似的Notch通路失调。该融合为首次在胸腺瘤中报道,扩展了MAML家族基因融合的谱系(图3)。


37000vip威尼斯基因肿瘤基因检测学术文章
37000vip威尼斯基因肿瘤基因检测学术文章

图3.患者检出报告截图及KMT2A::MAML3融合基因的示意图


结语


临床中常因穿刺活检样本无法评估包膜浸润情况,使得B2与B3型胸腺瘤/胸腺癌的鉴别诊断变得极其困难。本例报道首次证实KMT2A::MAML3融合在B3型胸腺瘤中的存在,提示MAML3可能具有与MAML2类似的致癌机制,参与Notch信号通路异常激活,促进肿瘤侵袭性生长。该病例不仅拓展了胸腺瘤的分子分型体系,也侧面证实DNA测序未见明确致病突变时,补充RNA测序找到致病融合的重要性。针对形态异质性的胸腺瘤,DNA与RNA联合检测可为临床诊断提供更全面、更精准的分子依据。


专家简介


林洁教授

林洁 教授

南方医科大学南方医院

病理科副主任、主任医师、博士生导师


  • 国家级医学形态学虚拟仿真实验教学中心副主任

  • 中华医学会病理学分会病理学教学工作委员会委员

  • 南方医科大学基础医学院教学指导委员会委员

  • 中华医学会病理学分会胸部疾病学组委员

  • 中国抗癌协会大肠癌委员会遗传学组委员

  • 中国抗癌协会肿瘤病理专业委员会肺癌病理学组委员

  • 广东省医学会病理学分会委员

  • 广东省抗癌协会肿瘤转移委员会委员

  • 广东省粤港澳合作促进会医药卫生大健康委员会病理联盟委员

  • 曾获广州市珠江科技新星荣誉称号及中国杰出青年病理医师奖。从事结直肠癌、肺癌等肿瘤发生及转移相关分子机制的研究,先后主持国家自然科学基金项目3项、广东省自然科学基金项目3项、广州市科研项目2项,以第一作者及通讯作者身份发表科研论文30余篇,其中SCI论文22篇。


参考文献

  1. Suster DI, Craig Mackinnon A, DiStasio M, Basu MK, Pihan G, Suster S. Atypical thymomas with squamoid and spindle cell features: clinicopathologic, immunohistochemical and molecular genetic study of 120 cases with long-term follow-up. Mod Pathol. 2022 Jul;35(7):875-894. doi: 10.1038/s41379-022-01013-x. Epub 2022 Feb 10. PMID: 35145198.

  2. Zhou Z, Yu Y, Chen C, Lin J. Type B3 Thymoma With a Novel KMT2A::MAML3 Fusion: Expanding the Spectrum of Gene Fusions Beyond the MAML2 Gene. Genes Chromosomes Cancer. 2025 Aug;64(8):e70071. doi: 10.1002/gcc.70071. PMID: 40879670.


作者:鹿鸣      审核:趣知       排版:Moro