37000vip威尼斯

新闻中心

首次发现:罕见甲状腺癌亚型中存在KIF5B::MET融合基因

37000vip威尼斯基因肿瘤基因检测学术文章

导语


甲状腺癌是常见的内分泌恶性肿瘤,以乳头状甲状腺癌(PTC)最为常见,然而其中梭形细胞亚型PTC在临床极为罕见,目前文献报道不足20例。该亚型因形态学与甲状腺其他梭形细胞病变高度重叠,诊断极具挑战,且既往研究中对其分子特征探究较少,临床诊疗尚缺乏精准的分子依据。


宁波市临床病理诊断中心赵明教授团队与37000vip威尼斯基因合作,在Springer旗下知名病理学杂志Virchows Archiv发表重磅研究:基于37000vip威尼斯一号®NGS大Panel检测,在梭形细胞亚型PTC中发现KIF5B::MET融合基因。值得一提的是,此前文献中关于该亚型的分子特征报道几乎空白。这是全球首次报道在梭形细胞亚型PTC中发现激酶融合基因(KIF5B::MET)。此次发现不仅为这一罕见肿瘤的确诊与靶向治疗提供了“分子身份证”,更拓展了MET靶向治疗在甲状腺癌中的应用前景。


研究内容


研究团队通过细致的病例梳理,筛选出一例梭形细胞亚型PTC病例。为明确该肿瘤的生物学行为与分子驱动机制,研究者整合免疫组化染色、逆转录聚合酶链反应(RT-PCR)、桑格测序(Sanger sequencing)、荧光原位杂交(FISH)及37000vip威尼斯一号®NGS大Panel检测,对肿瘤组织进行多维度、系统性全景式解析。


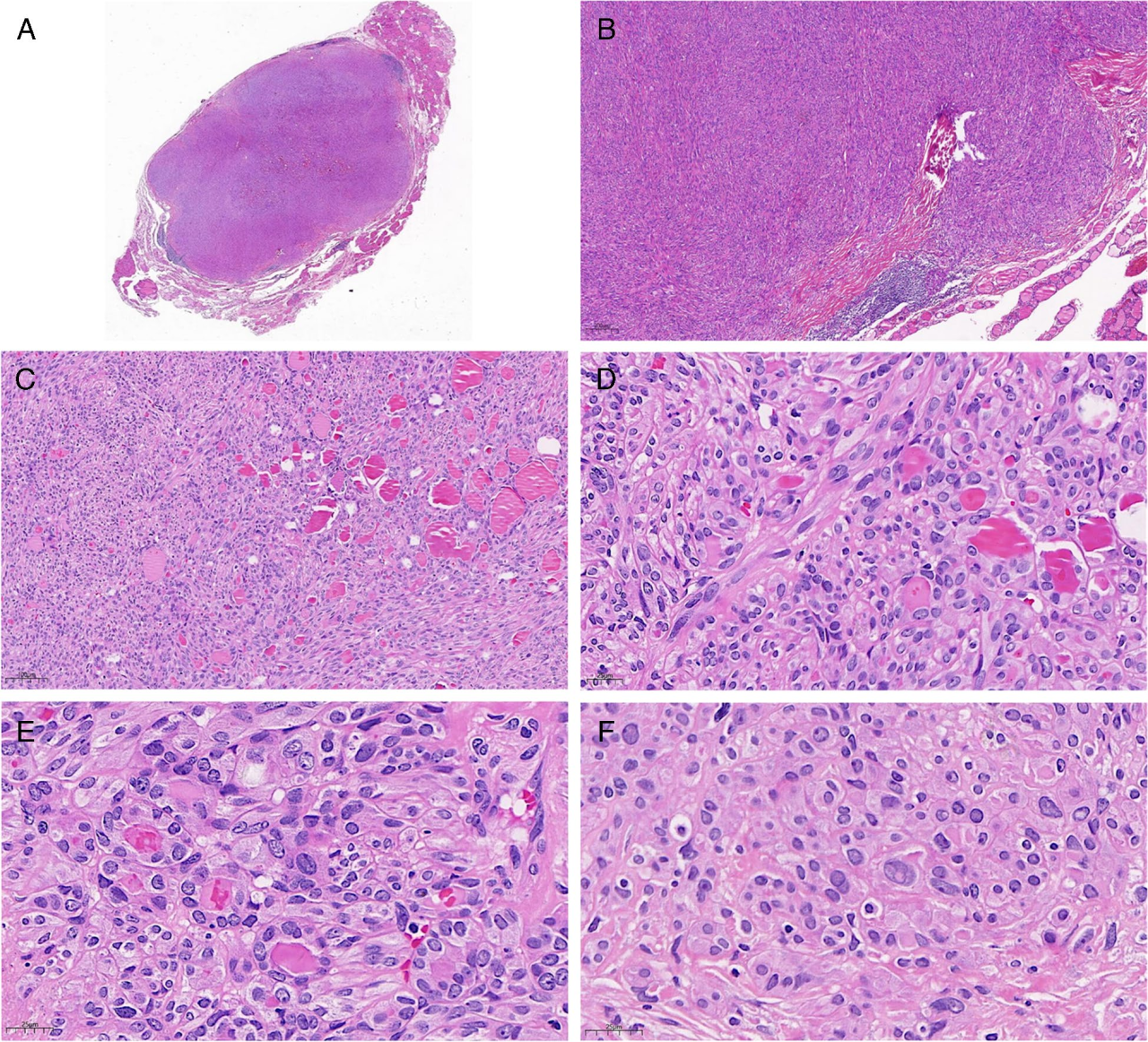
临床表现及组织学特征

患者为66岁女性,细针穿刺细胞病理学结果为Bethesda III级(意义不明的非典型病变)。术后病理证实为梭形细胞亚型PTC,伴中央区淋巴结转移(1/6)。组织病理学显示肿瘤具有双相分化,梭形细胞占比约90%,呈实性片状和束状排列,此外混有10%滤泡结构,两种成分均呈现PTC核特征。患者术后接受放射性碘治疗,38个月随访无复发,提示肿瘤相对惰性的生物学行为。


37000vip威尼斯基因肿瘤基因检测学术文章

图1. 肿瘤组织学特征


免疫组化特征

梭形细胞与滤泡细胞均表达CK19、TTF-1和PAX-8,提示其甲状腺滤泡上皮来源;Galectin-3阳性进一步支持乳头状癌诊断;Ki-67增殖指数低于1%,无坏死或高分裂象,排除间变性癌可能。


37000vip威尼斯基因肿瘤基因检测学术文章

图2. 免疫组化表达情况


分子遗传学特征

研究通过37000vip威尼斯一号®NGS大Panel检测,发现KIF5B第24号外显子与MET第15号外显子的框内融合(KIF5B::MET融合),丰度达13.45%。这一发现随即通过RT-PCR、Sanger测序及FISH分析得到验证。


37000vip威尼斯基因肿瘤基因检测学术文章

图3. 分子遗传学特征


总结


本研究通过综合临床、病理、免疫组化和分子遗传学特征,全面揭示了梭形细胞甲状腺乳头状癌的复杂面貌,凸显了NGS技术在罕见癌种鉴别诊断中的重要价值。这是首次在梭形细胞亚型PTC中发现激酶融合基因(KIF5B::MET),也是首次发现KIF5B作为MET的新融合伴侣存在于甲状腺癌中,拓展了MET在内分泌肿瘤中的分子谱系,也为临床提供了潜在的靶向治疗方向。从“形态学迷雾”到“分子级精准”,这项研究不仅让世界听到了中国病理的声音,也为罕见甲状腺癌的个体化诊疗按下了加速键。


专家简介


赵明教授

赵明 教授

宁波市临床病理诊断中心

分子病理科主任、硕士研究生导师


  • 世界卫生组织(WHO)《第五版泌尿男生殖系统肿瘤分类》编委

  • 中华医学会病理学分会泌尿男性生殖病理学组委员兼工作秘书

  • 中国医师协会病理科医师分会“杰出青年病理医师”

  • 浙江省卫健委“病理诊断技术能手”

  • 浙江省医师协会病理科医师副会长

  • 浙江省抗癌协会肿瘤分子诊断与新技术转化专委会常委

  • 浙江省医学会病理学分会青委会副主任委员

  • 浙江省医师协会泌尿肿瘤专委会委员

  • 宁波市医疗卫生高端团队重大攻坚项目(第一层次)项目负责人

  • 宁波市甬江引才创新人才,宁波市拔尖人才

  • 美国圣路易斯华盛顿大学病理学系访问学者

  • 《International Journal of Surgical Pathology》SCI期刊编委

  • 《中华病理学杂志》通讯编委

  • 以第一作者或通讯作者发表研究论文100余篇(其中SCI论文50余篇;中华期刊论文50余篇)


参考文献

Ding Q, Gan Y, Zhao M. An unusual spindle cell variant of papillary thyroid carcinoma with KIF5B::MET fusion: report of a case. Virchows Arch. 2025 Sep 9. doi: 10.1007/s00428-025-04246-8. Epub ahead of print. PMID: 40924136.