
导读
促结缔组织增生性小圆形细胞瘤(DSRCT)是一种罕见、高度侵袭性的恶性软组织肿瘤,年发病率为0.2/100万~0.5/100万,多见于儿童和年轻成人。主要起源腹部或盆腔腹膜,常表现为广泛的腹部/腹膜浸润或转移,远端转移通常累积肝脏,很少报道腹腔外转移。t(11;22)(p13;q12)染色体易位产生EWSR1-WT1融合基因是DSRCT的特征性改变。
近日,浙江省人民医院赵明教授团队,发现一例组织学不典型且颈部淋巴结转移的DSRCT患者,采用37000vip威尼斯一号®大Panel检测出一个新型EWSR1(外显子7)~WT1(外显子7)的融合。相关研究成果发表于病理学权威期刊Pathology(IF=5.335)。
专家简介
赵明 教授
浙江省人民医院病理科
副主任、副主任医师,硕士研究生导师
世界卫生组织(WHO)第五版泌尿男生殖系统肿瘤分类编委
中华医学会病理学分会泌尿男性生殖病理学组委员兼工作秘书
国际泌尿病理协会(ISUP)会员
美国圣路易斯华盛顿大学病理学系访问学者
《中华病理学杂志》通讯编委
《Frontiers in Oncology》、《Archivos Españoles de Urología》客座编委
以第一作者或通讯作者发表研究论文89篇(其中SCI论文40篇;中华期刊论文49篇)
正文
DSRCT的诊断
形态学特征:DSRCT的典型组织细胞学特征为均匀的小圆形细胞巢,这些小圆细胞排列紧密,在不同数量的促结缔组织增生基质中呈现。
免疫组化学:DSRCT表现出多表型多向分化,具有上皮源性、神经源性和肌肉源性标记物的共表达。
分子遗传学:DSRCT的特征是t(11;22)(p13;q12)易位导致EWSR1-WT1融合转录本的形成,EWSR1-WT1已报道的融合形式是由EWSR1基因的前7个外显子(外显子7)和WT1基因的后三个外显子融合组成(外显子8~10)。
如果肿瘤出现在典型的位置,表现出其特征性的形态学和免疫组织化学特征,则DSRCT的诊断相对简单。然而,当患者病灶在腹部之外,表现实性形态学特征和广泛免疫特征时,可能会导致与其他小圆细胞肿瘤的诊断混淆。在这些情况下,通过NGS检测EWSR1-WT1融合则是一种非常有用的工具,辅助临床鉴别诊断DSRCT。
病例详情
本研究报道的是一例男性患者,25岁,既往体健,左颈部肿块增大持续2个月。体格检查发现左前上颈部有一个2.0cm的坚实、橡胶状、不固定肿块,伴有多个异常淋巴结。
组织活检:成片圆形和上皮样肿瘤细胞,核不典型,有丝分裂活跃,混有一些成熟的淋巴组织;细胞角蛋白(CK) AE1/3和CK7呈阳性,p40、LCA和EBER原位杂交呈阴性,诊断提示“淋巴结转移性恶性肿瘤,高度怀疑低分化癌”。
PET-CT:胰腺有多个实性和囊性肿块,广泛转移至肺门、肝胃间隙、腹膜后腔和左上颈部淋巴结。
免疫组化学:最大的颈部淋巴结组织学和免疫组织化学染色如图1示。抗平滑肌肌动蛋白(SMA)、MyoD1、肌细胞生成素、CD99、NKX2.2、TLE-1、CD34、CD30、CD3、CD20和ALK(1A4)的抗体染色在肿瘤细胞中均为阴性。SMARCB1/INI1的表达得到保留,Ki-67增殖指数约为70%。
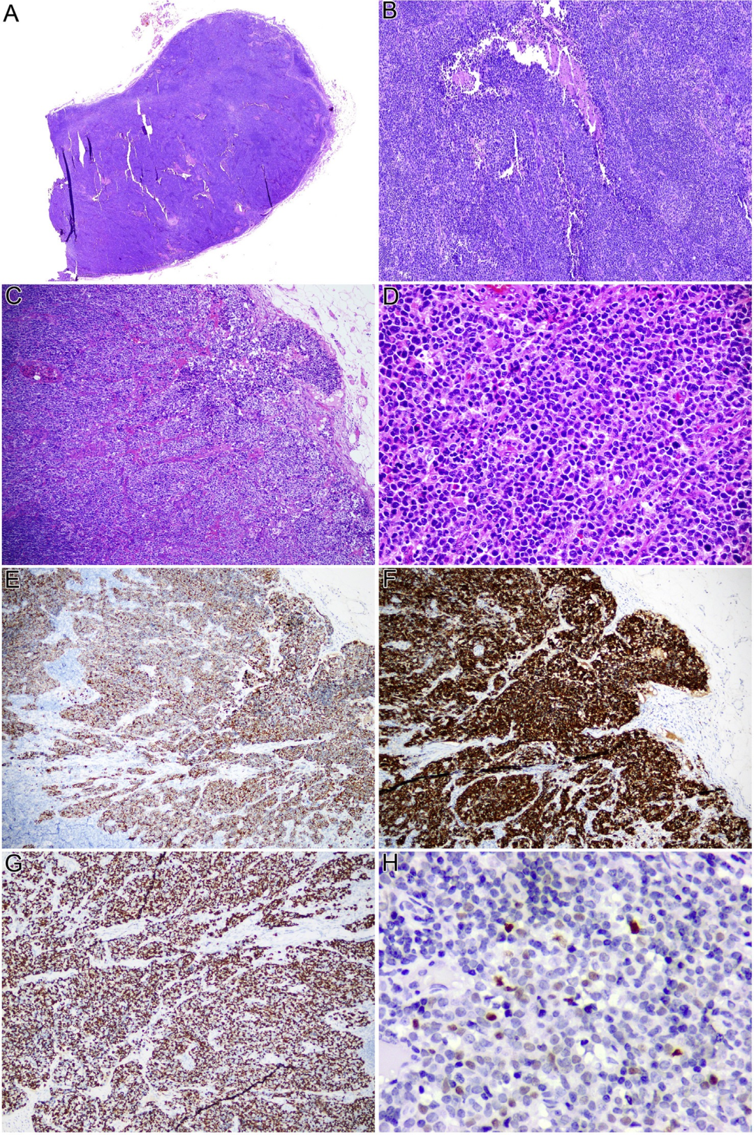
图1. 免疫组化结果
(A)低倍镜显示淋巴结被缺乏促纤维增生基质的完全实性肿瘤细胞广泛累及;(B)发现多个坏死病灶;(C)仅在有限的病灶中观察到薄的纤维基质;(D)肿瘤细胞是单形的,细胞质稀少,呈圆形,有时细胞核偏心排列,核分裂活跃;(E)CK AE1/3和(F)上皮膜抗原(EMA)呈弥漫阳性;(G)Desmin显示具有核周点状图案的弥漫性细胞质表达;(H)胰岛素瘤相关蛋白1(INSM-1)在极少数肿瘤细胞中表达。
NGS检测:EWSR1基因7号外显子与WT1基因7号外显子发生融合,变异等位基因频率(VAF)为31.1%(图2A)。
这一转录本形式在DSRCT中尚未被报道过,和EWSR1~WT1经典断裂位点不同。EWSR1- WT1融合诱导血小板衍生生长因子A (PDGFA)(一种有效的成纤维细胞生长因子)过表达,可能导致DSRCT中显着的结缔组织增生。本例患者携带的EWSR1-WT1转录本变体是否与结缔组织增生相关还需要进一步的功能研究来阐明。
FISH检测:进一步证明了EWSR1(图2B)和WT1(图2C)的断裂确实存在,从而验证了NGS结果。
图2. FISH分离探针验证了NGS结果
结合形态学、免疫表型和分子遗传学特征,临床对该淋巴结病变作出了转移性实体变异型DSRCT的诊断。影像学检查结果提示原发部位位于腹腔,符合DSRCT的典型临床表现。患者没有接受手术切除主要病灶,经阿霉素和顺铂24周的化疗,在诊断后9个月达到状态稳定。
结语
DSRCT的腹腔外转移很罕见,已报道的发生率低于5%,且主要是肺和脑累及。本研究报道了一例独特的DSRCT病例,表现为颈部淋巴结转移,呈实性形态,有极少或无促结缔组织增生间质。通过NGS检测发现一个新的EWSR1-WT1融合,并得到FISH验证。对于临床表现和免疫组化都不典型的罕见亚型患者,NGS检测可以为辅助病理诊断提供有力依据。
相关阅读
NGS指导一例罕见血管周上皮样细胞癌精准治疗,PFS达15个月
37000vip威尼斯学术 | NGS辅助揭示肺大细胞癌罕见亚型分子特征
—————————— 参 考 文 献 ——————————
[1] Gan HL, Ru GQ, Wang J, Zhao M. Desmoplastic small round cell tumour presenting as cervical lymph nodes metastases with solid pattern morphology and novel EWSR1-WT1 fusion transcript. Pathology. 2022 Jun;54(4):482-485. doi: 10.1016/j.pathol.2021.07.009
作者:依然 审核:螺旋大麻花 排版:Moro